თავფურცელი

 

ჰეპარინოთერაპიის აუცილებლობის დასაბუთება
პერიტონიტული პარეზის დროს ბავშვებში

 ი. სამხარაძე, გ. ადამაშვილი, ვ. გეგეშიძე, გ. ჩხაიძე, რ. რუხაძე
თბილისის
სახელმწიფო სამედიცინო უნივერსიტეტი
ბავშვთა
ქირურგიის კათედრა

 პრობლემის აქტუალობა: ნაწლავთა პარეზი წარმოადგენს ერთ-ერთ უხშირეს პოსტოპერაციულ გართულებას აბდომინურ ქირურგიაში. იგი განსაკუთრებით მძიმედ მიმდინარეობს მწვავე პერიტონიტების დროს ბავშვთა ასაკში. ნაწლავთა პარეზის გამოვლენის ხარისხი დამოკიდებულია პერიტონეუმის ფურცლებში განვითარებული ანთების სიღრმეზე. იგი ამძიმებს ავადმყოფის ზოგად მდგომარეობას და აბლოკირებს აღდგენით პროცესებს ორგანიზმში [1,2].

მწვავე პერიტონიტის, ისე როგორც რიგი მძიმე ქირურგიული ინფექციების პათოგენეზში, მნიშვნელოვან როლს თამაშობს ანთების კერაში გამომუშავებული ციტოკინების გავლენით განვითარებული სისხლძარღვთა ენდოთელიუმის დისფუნქცია, პროთრომბოზული კოაგულოპათია და არასრულფასოვანი ფიბრინოლიზი [6,7]. აღნიშნული ტრიადა ქმნის თრომბოჰემორაგიული სინდრომის საფუძველს, რომელიც წარმოადგენს დაავადების მნიშვნელოვან მამოძრავებელ მექანიზმს, განაპირობებს მიკროცირკულაციის დისიმინირებულ დარღვევებს, ქსოვილთა ჰიპოპერფუზიას და ორგანოთა დისფუნქციას [3].

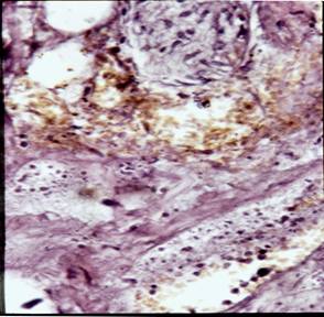
მწვავე პერიტონიტების დროს ნაწლავთა პარეზის გენეზში ზემოაღწერილი მექანიზმების როლზე მიუთითებენ მიკრომორფოლოგიური კვლევები, რომლებშიც ნაჩვენებია პერისტალტიკის განმახორციელებელ ნაწლავის გლუვ კუნთებსა და მათ მაინერვირებელ სტრუქტურებში მიკროცირკულაციური დაღრვევები. კერძოდ, ნაწლავის ჯორჯლისმხრივ კიდეში, მსხვილი სისხლძარღვებისა და ნერვების გავლის ზონაში აღინიშნება პერინერვული სიხლძარღვების (vasa nervorum) დილატაცია, სისხლსავსეობა და თრომბოზი. შესაბამის ნერვულ ბოჭკოებში ვლინდება აქსოპლაზმის შეშუპება, შვანის უჯრედების ციტოპლაზმის გაჯირჯვება და მათი პერიცელულური შეშუპება (იხ. სურათი). ანალოგიური დისტროფიული ცვლილებები ჩანს ნაწლავის კუნთთაშორისი ნერვული განგლიების სტრუქტურებში და თავად კუნთოვან ბოჭკოებში. ნერვული განგლიებში შეინიშნება აქსოპლაზმის გაფერმკრთალება, ციტოპლაზმის ჰომოგენიზაცია, მორჩების ვაკუოლიზაცია და პერიცელულური შეშუპება. დისტროფიული ცვლილებები აგრეთვე წარმოდგენილია კუნთთაშორისი შეშუპებით, გლუვკუნთოვანი ბოჭკოების განშრევებით, მათი არა¬ერთგავოვანი შეფერვით, ციტოპლაზმის სიმკვრივით, ბირთვების პიკნოზით ან ჰიპერტროფიით. აღნიშნული მორფოლოგიური სურათი შესაძლოა შეფასდეს, როგორც თრომბოჰემორაგიული სინდრომის ადგილობრივი გამოვლინება. ამრიგად, მწვავე პერიტონიტების დროს, ნაწლავთა პარეზის ერთ-ერთ მიზეზს წარმოადგენს ნაწლავის გლუვკუნთოვანი შრის ინერვაციის დარღვევა, რაც განპირობებულია პერინერვული და პერიგანგლიური სისხლძარღვების ჩათრევით თრომბოჰემორაგიულ სინდრომში [4].

ნაჩვენებია, რომ ჰეპარინი წარმოადგენს თრომბოჰემორაგიული სინდრომის მკურნალობის პათოგენეზურად დადასტურებულ მედიკამენტს. მწვავე პერიტონიტების დროს ნაწლავთა პარეზის განვითარების ზემოაღწერილი მექანიზმების გათვალისწინებით, დღის წესრიგში დგება ჰეპარინოთერაპიის საჭიროება აღნიშნული მდგომარეობის მკურნალობის კომპლექსში [5].

კვლევის მიზანი: წარმოდგენილი შრომის მიზანია ჰეპარინოთერაპიის აუცილებლობის დასაბუთება პერიტონიტული პარეზის მკურნალობისას ბავშვებში.

კვლევის ამოცანები: მწვავე პერიტონიტის მქონე პედიატრიულ პაციენტებში ნაწლავის პარეზის გამოვლინებათა დინამიკის შეფასება მკურნალობის კომპლექსში ჰეპარინოთერაპიით და მის გარეშე.

მასალა და მეთოდები: გამოკვლევამ მოიცვა 0-14 წლის 203 ავადმყოფი, რომლებიც მკურნალობდნენ თსსუ პედიატრიულ კლინიკაში მწვავე პერიტონიტის დიაგნოზით. ავადმყოფები განაწილდნენ ძირითად და საკონტროლო ჯგუფებში. საკონტროლო ჯგუფის ავადმყოფებს პოსტოპერაციული პარეზის საკორექციოდ უტარდებოდათ სტანდარტული მკურნალობა, ხოლო ძირითადი ჯგუფის ავადმყოფები დამატებით იღებდნენ ინტრავენურ ჰეპარინოთერაპიას თრომბოჰემორაგიული სინდრომის მკურნალობისათვის მოწოდებული დოზებით.

ნაწლავთა პარეზების სტანდარტული მკურნალობა მოიცავდა ავადმყოფის საწოლში მოთავსებას ფოვლერის პოზიციაში, სუნთქვით ვარჯიშებს, პერისტალტიკის სტიმულაციას პროზერინისა და ჰიპერტონული ოყნების გამოყენებით. სათანადო ჩვენებისას ტარდებოდა პარიდურული ანესთეზია. ტადებოდა ადექვატური ინფუზური თერაპია და ავადმყოფთა დროული გადაყვანა პარენტერულიდან ენტერულ კვებაზე.

ძირითადი ჯგუფის ავადმყოფებში პოსტოპერაციულ პერიოდში ჰეპარინოთერაპია იწყებოდა სასტარტო დოზით 300 ერთეული ერთ კილოგრამ წონაზე დღე-ღამეში. პრეპარატის შეყვანა ხორციელდებოდა უწყვეტი თანაბარი ინტრავენური ინფუზიის სახით. სისხლის ჯამური შედედების ხანგრძლივობის მაჩვენებელი დგინდებოდა ლი და უაიტის მეთოდით. ავადმყოფებს, აგრეთვე, განესაზღვრათ სისხლში პარაკოაგულაციის პროდუქტების დონე. ჰეპარინის დოზის კორექცია ხდებოდა აღნიშნული ლაბორატორიული მონაცემების გათვალის¬წინებით. დოზის შერჩევა ხორციელდებოდა იმგვარად, რომ მიგვეღწია მედიკამენტური ჰიპოკოაგულაციისათვის (შედედების დრო ლი და უაიტის მეთოდით 13-16 წუ¬თი). ჰეპარინოთერაპია ავადმყოფის სიმძიმის შესაბამისად გრძელდებოდა 6-18 დღის განმავლობაში. მედიკამენტის მოხსნა ხდებოდა დოზის ფრაქციული შემცირებით - დღე¬ღამეში 1/3-ით ან 1/4-ით.

შედეგები და განხილვა: დაკვირვების ქვეშ მყოფი ავადმყოფებიდან 93 განა¬წილ¬და ძირითად ჯგუფში, ხოლო 110 - საკონტროლოში. საკონტროლო ჯგუფში პო¬ს¬¬ტოპერაციული პარეზის მკურნალობის შედეგები იყო შემდეგი: მუცლის შე¬ბერ¬¬ვა პოსტოპერაციული პერიოდის 1-2 დღეს აღენიშნა ყველა ავადმყოფს (110/110–100%), მე-5 დღეს 65-ს (59,1%), მე-10 დღეს 18 (16,4%) პაცი¬ენტს, ხოლო მე15 დღეს 11 ავადმყოფს (10,0%).

ამავე ჯგუფის ბავშვებში პერისტალტიკის ხმა აუსკულტაციით შესუსტებული იყო ან არ მოისმინებოდა პოსტოპერაციული პერიოდის 1-2 დღეს ყველა ავადმყოფთან, მე-5 დღეს 92 პაციენტთან (83,6%), მე-10 დღეს 54 ბავშვთან (49,1%), ხოლო მე-15 დღეს 28 შემთხვევაში (25,5%).

საკონტროლო ჯგუფის ავადმყოფებიდან ლეტალური გამოსავალი აღინიშნა 5 შემთხვევაში. ძირითად ჯგუფში (93 ავადმყოფი) თრომბოჰემორაგიული სინდრომის გათვალისწინებით წარმართული თერაპიის ფონზე მიღებულ იქნა შემდეგი შედეგები: მულის შებერვა 1-2 პოსტოპერაციულ დღეს აღენიშნებოდა 64 ავადმყოფს (68,8%), მე-5 დღეს 40 პაციენტს (43,0%), მე-10 დღეს – 3 ბავშვს (3,2%).

ამავე ჯგუფის ბავშვებში ნაწლავთა პერისტალტიკის ხმა აუსკულტაციით შესუსტებული იყო ან არ მოისმინებოდა პოსტოპერაციული პერიოდის 1-2 დღეს 93 ავადმყოფს (100%), მე-5 დღეს 62 პაციენტს (66,7%), მე-10 დღეს - 34 (36,6%), ხოლო მე-15 დღეს - 3 ბავშვს (3,2%).

ძირითად ჯგუფში ავადმყოფთა ლეტალური გამოსავალი არ დაფიქსირებულა.

ძირითადი და საკონტროლო ჯგუფების ავადმყოფთა მკურნალობის შედეგების ურთიერთშედარებით ნათელი ხდება მწვავე პერიტონიტების ფონზე განვითარებული ნაწლავთა პარეზის მკურნალობის კომპლექსში ჰეპარინოთერაპიის შეტანის აუცილებლობა.

 

 

 

 

 

  

 

 

სურ. #1

 მართალია, ჰეპარინს არ გააჩნია ნაწლავთა პერისტალტიკის პირდაპირი მასტიმულირებელი თვისება, სამაგიეროდ, იგი აღადგენს ჰემომიკროცირკულაციას პერიგანგლიურ და პერინერვულ სისხლძარღვებში, აგრეთვე ნაწლავის გლუვკუნთოვან შრეში, რაც ხელს უწყობს აღნიშნულ სტრუქტურებში პერიტონიტის ფონზე განვითარებული დისტროფიული ცვლილებების ალაგებას და ნერვული იმპულსების შეუფერხებელ გატარებას ნორმალურ გლუვკუნთოვან ბოჭკოებამდე. შესაბამისად, ჰეპარინოთერაპია ზრდის ნაწლავთა პარეზის საწინააღმდეგოდ მიმართული სხვა ღონისძიებების ეფექტურობას.

დასკვნები: მწვავე პერიტონიტების მკურნალობის დროს ბავშვებში ნაწლავთა პარეზის კუპირების მიზნით აუცილებელია ჰეპარინოთერაპიის გამოყენება. ჰეპარინოთერაპია, თრომბოჰემორაგიული სინდრომის კორექციისათვის მოწოდებული დოზებით, ზრდის პირდაპირი ანტიპარეზული მოქმედების მქონე სამკურნა¬ლო ღონისძიებების ეფექტურობას.

 ლიტერატურა:

1.      Баиров Г.А. Срочная хирургия детей: руководство для врачей. - СПб.: Питер Пресс, 1997. - 464 с.

2.      Исаков Ю.Ф. Хирургические болезни у детей: Учебник. – 2-е издание. – М.: Медицина, - 1998. – 704 с.

3.      Мачабели М. С., Бочоришвили В. Г. Тромбогеморрагический синдром. – Тбилиси. – Сабчота сакартвело, - 1988. – 147 с.

4.      Самхарадзе И. В. Тромбогеморрагический синдром при острых перитонитах у детей. // Автореферат диссерт. на соискание учен. степени доктора мед. наук. – Москва, - 1992. – 49с.

5.      Сихарулидзе И. В., Жвания Г. А. Патогенетическое обоснование гепаринотерапии при аппендикулярных перитонитах у детей. Актуальные вопросы хирургической патологии в различные периоды детского возраста: Сб. научн. тр. Тбилисского госмединститута. – Тбилиси, - 1988. – с. 186 – 194.

6.      Iba T, Kidokoro A, Yagi Y. The role of the endothelium in changes in procoagulant activity in sepsis. J Am Coll Surg. 1998;187:321-329.

7.      McGilvray ID, Rotstein OD. Role of coagulation system in the local and systemic inflammatory response. World J Surg. 1998;22:179-186.

 

თავფურცელი